Management of Chronic Obstructive Pulmonary Disease (COPD ...
Medications And Their Potential To Cause Increase In 'Lung Nodule'
List of Drugs that may cause 'Lung nodule'Advertisement
Updated on November 16, 2023 This section presents medications that are known to potentially lead to 'Lung nodule' as a side effect." It's important to note that mild side effects are quite common with medications. Please be aware that the drugs listed here are individual medications and may be part of a broader combination therapy. This information is meant to be a helpful resource but should not replace professional medical advice. If you're concerned about 'Lung nodule', it's best to consult a healthcare professional. In addition to 'Lung nodule', other symptoms or signs might better match your side effect. We have listed these below for your convenience. If you find a symptom that more closely resembles your experience, you can use it to identify potential medications that might be the cause.Advertisement
Octreotide , UDCA Find drugs that can cause other symptoms like 'Lung nodule' References
↑
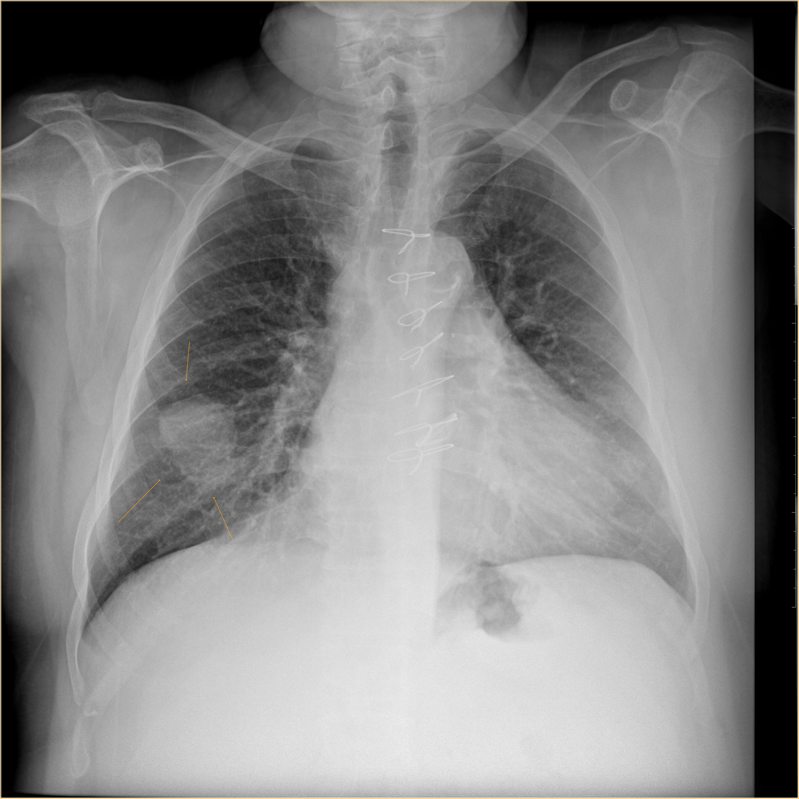
Treatable To Curable: BayCare's Lung Nodule Clinic Helps Detect Cancer Earlier
CLEARWATER, Fla. — For Al Parker, being out on a golf course is paradise.
What You Need To Know"Other than my family, probably one of the most important things in my life is playing golf. It's one of those things you get addicted to," said Parker.
He likes the challenge of golf, the precision and the finesse.
At the start of 2023, Parker had big plans to be on many fairways this year.
"Oh yeah, they did change," smiles Parker to himself. "I had to cancel some of my golf trips this year."
In January, he needed a CAT scan done to check on a heart condition.
"I got the call, 'Hey, you got a blocked artery, and by the way, there is a spot on your lung,'" said Parker, recalling the conversation.
He was not expecting to hear about anything on his lungs. But to be safe, he decided to get the spot biopsied at BayCare's Morton Plant's Nodule Clinic.
His procedure was completed by Dr. Joseph Romero, BayCare Pulmonologist. He is the lead physician at the lung nodule clinic, where biopsies are done to nodules, lesions and masses to see if they are cancerous.
For the past two years, Morton Plant has used an ION machine to catch lung cancer early. Lung cancer cases that may have only been treatable in the past are now curable.
"It allows us to have access to things we really didn't have access to before," said Dr. Romero. "Things that were deemed too dangerous or too risky to get after. We are pretty much going after all of them now."
The machine uses a camera that is inserted down a person's mouth, through their tracheal tube, and then into their lungs.
Once there, Dr. Romero guides the camera with controls to the problem spots, already identified through scans.
"The virtual model here that is created by the CAT scan essentially almost perfectly matches what we see in real life," said Dr. Michael Kayatta, Cardiothoracic Surgeon.
Once the biopsy results came back on Parker's nodule, showing it was cancerous, Dr. Kayatta was the one to surgically remove the spot.
Dr. Kayatta said the early diagnosis saved Parker.
"It is often diagnosed in the later stages where it really isn't much of a chance of a cure. But if we are able to find it in an early stage, like a stage one lung cancer, we can cure those patients," said Dr. Kayatta.
Parker knows how lucky he is that his first heart CAT scan showed that spot on his lung.
"I am a Christian, so I feel like I got led by the hand," he said with tears in his eyes.
He has friends who are not so lucky.
"They were looking and looking. By the time they finally figured it out, he was stage three. And now he is stage four, it's in his liver, it's in his lungs. They gave him less than a year to live now," said Parker.
Unlike Parker's friend, his early diagnosis and treatment of his lung cancer means that he will live. He won't even need chemotherapy or radiation.
"Every day is a blessing now. Every day that I wake up is a great day. I don't have bad days anymore," said Parker.
Cancer-free and out on the Ardea Country Club golf course playing another round, Parker just smiles.
When it comes to lung screenings for cancer, the latest guidelines from the U.S. Preventative Services Task Force state people between 50 and 80 years old with a 20-year history of smoking, who are actively smoking or quit within the last 15 years should get screened.
Dr. Kayatta said those screenings are often covered by insurance, Medicare or Medicaid.
Robotic Procedure Detects Lung Cancer Sooner: Seacoast Health News
Your browser is not supportedseacoastonline.Comseacoastonline.Com wants to ensure the best experience for all of our readers, so we built our site to take advantage of the latest technology, making it faster and easier to use.
Unfortunately, your browser is not supported. Please download one of these browsers for the best experience on seacoastonline.Com

Comments
Post a Comment